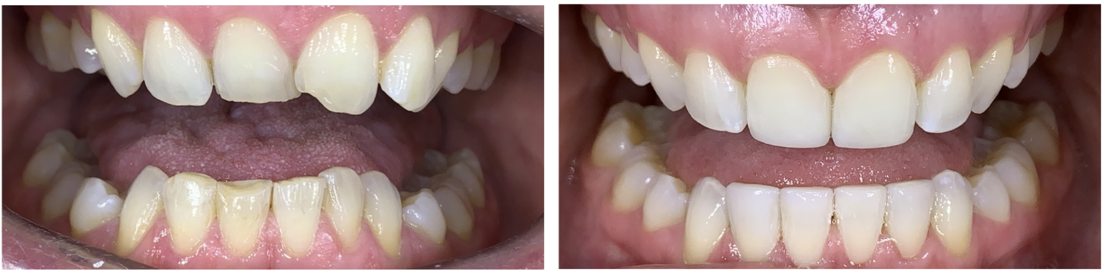
New Patient Exam
Our practice offers private care with a highly experienced clinician in a luxurious, boutique environment. We welcome all new patients in for an evaluation appointment which enables us to thoroughly examine your oral health.
An opportunity to address concerns, without the need for a full check up or hygienist appointment. Discuss your treatment plan, clear your doubts, and receive expert advice from Dr. Julia Coelho.

An opportunity to discuss your concerns and a potential treatment plan, without having a full check up. This is perfect for someone who perhaps has a regular dentist and wants a second opinion, or someone who recently had a full check up but wants peace of mind on some oral health concerns.
"I will guide you step by step through your journey to a long-lasting and life-changing smile that is authentic and unique to you"
Our priority is your in-clinic comfort and long-term oral health. From our hyper-ergonomic massage dental chair, to our industry leading intra-oral 3D scanner, we have taken exceptional care to improve the Dentistry experience at every stage.
Call, email, or book your first appointment online. Email Enquiries, Click Here.
Our practice offers private care with a highly experienced clinician in a luxurious, boutique environment. We welcome all new patients in for an evaluation appointment which enables us to thoroughly examine your oral health.
Get treatment fast, with quick diagnosis and swift action at The Door W4. When emergencies happen, an award-winning Dentist in a serene setting is the place to come.
Treatment for the gums, and everything below them. Includes Airflow, Scaling and Debridement, Crown Lengthening, Maintenance, Bone Grafting and Fissure Sealant.
Expertise
At The Door W4, we pride ourselves on our team of highly skilled and award-winning practitioners, each bringing years of expertise in aesthetic and surgical treatments. We carefully select the best in their fields to ensure you receive exceptional care and outstanding results, all under one roof.
CQC Registered
We're also CQC registered. CQC Registration is an accreditation by the Care Quality Commission that assess and confirms a certain level of hygiene, operational setup (ie. room design and available facilities) and patient care. This is the sort of level of accreditation usually found in hospitals and medical centres, so you can rest assured that you'll be getting the highest quality of treatment here with us.
Location
We're incredibly easy to get to. Visit us in leafy Chiswick, moments from vibrant Chiswick High Road. Close to Heathrow Airport and just off the M4, we are outside the congestion charging zone and very easy to access from out of London. With ample parking on site, you can have someone take you home straight from your treatment.
Get in touch with us for any enquiries by filling out our form below.