willow
Dr. Julia Coelho

Dr. Julia Coelho

BDS, BSc (Hons), MFDS, PGDipl, MSc

Award-Winning Cosmetic Dentist and Aesthetic Practitioner, based in a private Dental Studio at the Door W4. Dr. Julia has transformed hundreds of smiles with exceptional, natural-looking results. Her dental work goes hand in hand with her expertise in advanced aesthetics treatments and skincare.

olive

Personal Profile

Dr Julia Coelho is a highly respected professional that's sought after nationally and internationally for her work in Medical Aesthetics and Cosmetic Dentistry. She has delivered thousands of treatments with exceptional, natural-looking results. Dr Julia maintains strong ethical principles and her core ethos is to achieve the very best bespoke aesthetic enhancements but never at the sacrifice of health or function.

Dr Julia holds a vast array of qualifications, awards and professional experience & development within the Medical and Aesthetics field. She offers a wide range of treatments at The Door W4, from non-surgical anti-ageing solutions to advanced dentistry. Whatever your aesthetic treatment plan with Dr Julia Coelho, rest-assured you are in the very best of hands.

willow

Qualifications and Experience

  • 2016-2017 Cosmetic Dentistry & Aesthetic Restorative Dentistry – Advanced Dental Seminars
  • 2015-2016 Continuing Education Program in Advanced Implant Dentistry – CADE (Centre for Advanced Dental Education)
  • 2013-2016 University of Kent MSc in Primary Dental Care – Core subjects: Oral medicine, Oral Surgery and Research.
  • Feb. 2015 MFDS – Royal College of Surgeons
  • 2013-2015 University of Kent Post Graduate Diploma – Primary Dental Care
  • 2009-2013 Peninsula College of Medicine and Dentistry Bachelor of Dental Surgery
  • 2006-2009 University of Surrey Bachelor of Biomedical Science BSc (Hons)
  • 2000-2003 Universidade do Extremo Sul Catarinense (Brazil) Bachelor of Languages (Portuguese and English)
  • 1998-2000 EEB Sebastião Toledo dos Santos (Brazil) Teaching Qualifications

Professional Experience:

  • 2021-2022 Carisbrooke Specialist Centre (4 days) Dentistry and Facial Aesthetics 238 London Road, Leicester, LE2 1RL
  • 2019-2021 Beech House Dental Practice (2 days) Dentistry and Facial Aesthetics 12 Church Street, Cobham, KT12 3EG
  • 2016-2017 University of Kent MSc Research Supervisor
  • 2016 Lecturer at International Academy of Aesthetics (IAA)
  • 2015-Present Charterhouse Clinic (1 day) – Facial Aesthetics only 98 Crawford St, Marylebone, London, W1H 2HL
  • 2016 – 2019 Rosebank Dental Practice (2 days) Dentistry and Facial Aesthetics Shire Lane, Chorleywood, Hertfordshire, WD3 5NH
  • 2015 -2021 Dental Associate (2 days) Dentistry and Facial Aesthetics S3 Dental, Esher, Surrey, KT10 0AA
  • 2015 - 2018 Lead Trainer in non-surgical facial aesthetics KT Medical Aesthetic Training, 123 Ermin Street, Swindon, SN3 4NH Teaching at Harley Street, Swindon and High Wycombe
  • 2014-2015 Senior House Officer – Oral and Maxillofacial Surgery Royal Surrey County Hospital, Guildford, Surrey, GU2 7XX
  • 2013-2014 Vocational Dental Practitioner – NHS and Private Dentistry. S3 Dental, Esher, Surrey, KT10 0AA
  • 2013-Present Non-Surgical Facial Rejuvenation Practitioner (Part-time) Surrey, London and Leicester
  • 2012-2013 Clinical Vertical Team Leader
  • Jul-Aug 2012 Elective at the Hospital of Rehabilitation of Craniofacial Anomalies – SP, Brazil
bay

Awards

2017 Aesthetic Dentistry Award (Facial Aesthetics)
2014 Aesthetic Dentistry Award (Restorative)
2013 National Prize - Dentisply Academy CeramX Contest (Orthodontic & Restorative)
2012 Progress Test Prize (Best overall ADK score)
2012 Phanton Head Prize (clinical skills)
2011 Phanton Head Prize (clinical skills)
2010 Special Study Unit Prize (Community Dentistry Project)

Featured Treatments

Dr Julia Coelho's treatments at The Door W4

Dental Services

Dental Services

Purpose built for Award-Winning Dentist, Dr. Julia Coelho, the Dental Studio at The Door W4 is equipped for everything from everyday checkups to advanced cosmetic and restorative procedures.

AgeJET Nitrogen Plasma Therapy

AgeJET Nitrogen Plasma Therapy

Advanced Plasma Skin Therapy by AgeJET offers natural looking, long lasting results for skin rejuvenation with minimal discomfort and downtime. Skin concerns such as wrinkles, sagging skin, dermatological conditions, active acne and scarring can be safely treated as well as the peri-orbital region (lash to brow area).

Morpheus8 - Non Surgical Skin Tightening

Morpheus8 - Non Surgical Skin Tightening

The only FDA approved device on the market for skin contraction. Morpheus 8 by Inmode is a cutting-edge technology that combines radio frequency with fractional micro pins.

FaceTite

FaceTite

Tighten and improve your sagging skin, neck, or double chin with this revolutionary soft surgical treatment. A real alternative to a face and neck lift, using stitch free, radio frequency technologies this treatment is perfect for those with ageing concerns.

PDO Threads

PDO Threads

First Lift LFL is a premium lifting thread made of PDO (Polydioxanone) that absorbs after stimulating collagen for effective face contouring.

Anti Wrinkle Injections

Anti Wrinkle Injections

Botulinum Toxin is an FDA approved medicine (most commonly known as Botox®) is a naturally purified protein that works as a muscle relaxant to effectively smooth the signs of ageing plus other conditions.

Profhilo

Profhilo

Profhilo is an injectable anti-ageing skin treatment, designed to boost hydration, improve skin elasticity and firmness. Profhilo works by stimulating the production of collagen through the release of Hyaluronic Acid in its purest form.

Dermal Fillers

Dermal Fillers

Dermal Fillers are a very popular non-surgical aesthetic treatment used on the face to combat the signs of ageing by filling and contouring to add volume.

HArmonyCa®

HArmonyCa®

HArmonyCa is a dual-effect hybrid Injectable treatment that combines two revolutionary ingredients Hyaluronic Acid and Calcium Hydroxyapatite that can safely improve your skin's architecture from as little as one treatment.

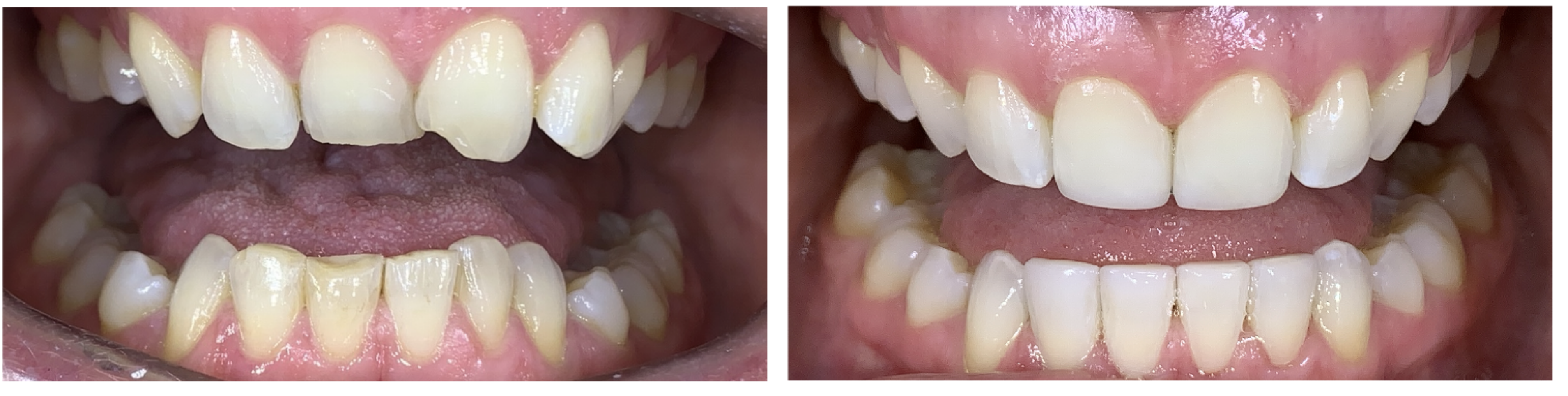
Before & Afters

by Dr Julia

Quiet Beauty by Dr Julia Coelho

The award-winning approach

Resident Aesthetics Practitioner and Cosmetic Dentist at The Door W4 Clinic, Dr Julia Coelho shares her treatment philosophy for her facial aesthetics treatments. Do you agree with this approach?

5/5

"The dental care I have received at The Door W4 from Dr Coelho has been excellent. She has made certain all aspects of the procedures were clear, both the options and her recommendations. The practice offices are modern, comfortable and easy to find. I highly recommend The Door W4."

— Jeremy
5/5

"Julia Coelho is a dental star. She is highly professional and passionate about her subject yet brings to her patient her knowledge and skill with a friendly and literally, lightness of touch. She has cured my phobia of dentists to such an extent that I now look forward to my next visits."

— Jeanette
5/5

Had another lovely treatment with the amazing Dr Julia Coelho at the Door W4! Julia makes you feel so relaxed and she has the most amazing calming presence about her, I recommend her and the friendly capable staff to anyone considering their treatments. Excellent!

— Jules
5/5

My first visit and I was VERY IMPRESSED. The premises are lovely, the staff are very friendly and Julia is amazing. She is very knowledgeable, with numerous qualifications to her name. My actual treatment was very professional and I am very happy with it. Looking forward to my next appointment.

— Minnie
5/5

"Dr. Julia is simply the best! She consistently goes above and beyond for her clients and it is incredibly appreciated. Her knowledge and dedication to providing the best service is second to none! My skin looks better than ever before!"

— Christina
5/5

"My dental work was done extremely well by Julia Coelho. She was meticulous and wouldn’t accept anything less than the best outcome for me. She and her team are really committed. I’m a delighted customer."

— Jeremy
5/5

"Julia is extremely knowledgeable and clearly passionate about all things dentistry. She is amazing with children and adults alike, what an amazing find this practice is!"

— Chloe
5/5

"Dr Julia Coelho provided a clear explanation about the process moving forward, making the whole experience stress-free and less overwhelming."

— Michaela
5/5

"I have never been so happy to have been to the dentist! I feel empowered and confident in my teeth and smile! Dr. Julia is not only fantastic at what she does, but her hands are like angel's hands. I am feeling 10 years younger and I CAN'T WAIT FOR MY FOLLOW-UP!"

— Vera
5/5

"Dr Julia and her nurses are not only brilliantly skilled professionals but unfailingly kind and caring in all they do. I m delighted with my new smile and cannot recommend the service highly enough."

— Pippa

Client Testimonials

Lia and AK from @PropertyCouple

Watch Lia and AK's journey at The Door W4 Dental Studio with Dr Julia as they prep their perfect smiles for their wedding day!

"After breaking his front teeth over 16 years ago, AK finally decided to do something about his teeth ahead of our recent wedding. We booked in with Dr Julia Coelho at The Door W4 for our clean and whilst we were there she suggested that he considered composite bonding for the front two teeth to correct the shape, this combined with the airflow clean meant that our wedding photos were absolutely perfect."

Helen Taylor: Patient Success Story

Helen spent years feeling self-conscious about her smile, often noticing her teeth in photos and wishing they were different. When she came to Dr. Julia Coelho at The Door W4’s Dental Studio, she found a solution that transformed her smile and her confidence.

Through clear aligners and composite bonding, Helen achieved a beautifully natural, straight smile, restoring her confidence in a way she never thought possible.

Click to hear Helen’s story as she shares her journey, the transformation process, and how her new smile has changed the way she feels about herself!

Keen to learn more?

Get in touch with Dr Julia Coelho about any of her treatments or to book.

Personal Data

Dr Julia's Approach to Composite Veneers

A Patient-Centered Philosophy in Smile Design

We understand the significance of a well-designed smile. Our approach, led by Dr. Julia Coelho, is firmly patient-led and personal to each individual.

The key to a successful smile design lies in understanding and integrating patient preferences to ensure individualised care and alignment with facial features. Designing a smile extends beyond just the teeth.

When it comes to veneers, there are two primary options.
PORCELAIN VENEERS: Typically recommended for those who "already have a lot of fillings or if you want to achieve a certain smile."
COMPOSITE VENEERS: A conservative approach, these veneers are often associated with minimal tooth adjustment.

At The Door W4 Dental Studio, our goal, in alignment with Dr. Julia Coelho's philosophy, is to make your dream smile a reality. We remain steadfast in our commitment to delivering treatments that are both effective and tailored to individual needs, delivered in a comfortable and luxurious environment, with cutting-edge treatments and equipment.